AO VIVO
CARREGANDO... WEB RÁDIO JUVENTUDE
AO VIVO
CARREGANDO... WEB RÁDIO JUVENTUDE
AO VIVO
CARREGANDO... WEB RÁDIO JUVENTUDE

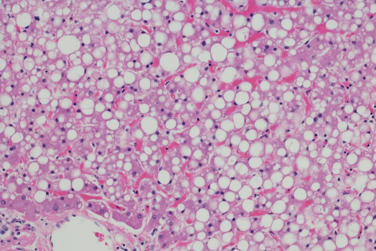
Adultos com gordura no fígado têm 30% mais risco de diabetes tipo 2

Esteatose hepática pode causar inflamação crônica e danos no tecido do fígado. Sem tratamento, quadro pode evoluir para cirrose ou câncer

Estudo realizado por pesquisadores da Universidade Federal de Minas Gerais (UFMG), em parceria com cientistas da Universidade de São Paulo (USP) e da Universidade Federal do Rio Grande do Sul (UFRGS), concluiu que adultos brasileiros que possuem esteatose hepática, popularmente chamada de gordura no fígado, têm 30% mais risco de desenvolverem diabetes tipo 2.

Os resultados têm como base o estudo chamado ELSA-Brasil (Estudo Longitudinal de Saúde do Adulto), que avaliou 8.166 adultos (servidores públicos ou aposentados), com idades entre 35 e 74 anos, de seis capitais do Brasil. Os voluntários foram seguidos por cerca de 3,8 anos. Foram excluídos os participantes com diabetes no início do estudo, aqueles que relataram consumo excessivo de álcool com hepatite ou cirrose. Os resultados foram publicados nos Cadernos de Saúde Pública em março de 2023.

A esteatose hepática é o acúmulo de gordura no fígado que pode, com o passar do tempo, causar uma inflamação crônica e danos no tecido hepático. Normalmente é uma situação benigna mas, sem cuidados, sua evolução pode induzir à fibrose do fígado (substituição das células normais do fígado por tecido fibroso) e até evoluir para cirrose, inclusive com aumento de risco de câncer. Estima-se que o problema atinja ao menos 25% da população adulta – na amostra avaliada a esteatose estava presente em 35,5% dos voluntários.

Segundo a hepatologista Bianca Della Guardia, coordenadora do Grupo Médico Assistencial de Doenças Hepáticas do Hospital Israelita Albert Einstein, esse tipo de estudo é muito importante porque no Brasil não temos muitas pesquisas que avaliem a incidência e prevalência da doença na nossa população.

“Nós imaginávamos uma incidência maior de esteatose no Brasil por questões genéticas que podem estar relacionadas. Mas esse número é preocupante porque quando falamos da doença hepática gordurosa não alcoólica estamos fazendo uma associação direta com a síndrome metabólica”, destacou Della Guardia.
A ultrassonografia abdominal foi o exame usado para a detecção da esteatose hepática, mas o diagnóstico também pode ser feito por outros exames de imagem, como tomografia e ressonância magnética, além de biópsia do fígado. No período de seguimento, a incidência de diabetes foi de 5,25% em todo o grupo de participantes, sendo de 7,83% entre as pessoas com esteatose hepática e de 3,88% naqueles sem a esteatose. Isso significa um risco aumentado de 30% de desenvolver diabetes.

O que é gordura no fígado?
Popularmente chamada de gordura no fígado, a esteatose hepática acontece quando as células do órgão acumulam gordura em excesso.
Nos estágios iniciais, a condição costuma ser silenciosa e não apresenta sintomas evidentes.
À medida que progride, porém, podem surgir dores abdominais na parte superior direita do abdômen, cansaço, fraqueza, perda de apetite, aumento do fígado, inchaço na barriga, dor de cabeça frequente e dificuldade para perder peso.
As principais causas estão relacionadas à obesidade, ao diabetes, ao colesterol alto e ao consumo excessivo de álcool.
A doença é mais comum em mulheres sedentárias, já que o hormônio estrogênio favorece o acúmulo de gordura no fígado. Ainda assim, pessoas magras, que não bebem, e até crianças também podem desenvolver a condição.
Como é o diagnóstico de gordura no fígado?
De acordo com a hepatologista, o ultrassom é o primeiro exame que vai apontar a presença da gordura do fígado. Mas, ao constatar o problema, outros exames devem ser realizados. “O ultrassom é um exame sensível, mas precisamos entender se esse paciente tem fibrose hepática, que é a cicatrização do fígado, além da gordura. É essa fibrose que vai determinar o prognóstico a médio e a longo prazo. Se a gordura for identificada no ultrassom, esse paciente precisa ser melhor investigado”, alertou a especialista.

A esteatose hepática é uma doença silenciosa e, por isso, é perigosa. Segundo a médica, em geral, o fígado não costuma dar sintomas de problemas quando ainda estão na sua fase inicial e com a esteatose não é diferente. “Não existem sinais específicos para a doença. O paciente terá sintomas quando a doença estiver numa situação de cronicidade, quando o fígado começa a dar sinais de falência. Geralmente, são sintomas que aparecem em uma fase mais tardia da doença, que é tudo que precisamos evitar”, disse.

Assim, uma vez constatado o problema, é preciso tratar imediatamente. “É muito importante tratarmos essa inflamação precocemente para evitarmos a evolução para um quadro de falência hepática mais grave. O exercício físico é determinante para a diminuição da gordura visceral. Se nós tratamos o excesso de gordura (a adiposidade), conseguimos segurar a evolução dessa inflamação”, explicou o endocrinologista Clayton Macedo, que coordena o Núcleo de Endocrinologia do Exercício e do Esporte do Hospital Israelita Albert Einstein e o ambulatório de Endocrinologia do Esporte da Universidade Federal de São Paulo (Unifesp).

Macedo ressaltou que os indivíduos avaliados tinham circunferência abdominal aumentada (que também é um fator de risco para diabetes), eram mais obesos, tinham mais dislipidemias e mais hipertensão.

“Todos esses são fatores de risco importantes para o desenvolvimento de diabetes. Quem tem esteatose, provavelmente tem mais mecanismos de resistência à insulina, às vezes até alterações de outros fatores de risco, o que coabita o cenário de predisposição à diabetes”, ponderou.

Segundo o endocrinologista, esses resultados são essenciais para o desenvolvimento de políticas de saúde específicas para esse público, para o planejamento estratégias de prevenção e de tratamento da esteatose hepática. Macedo explica ainda que existem algumas medicações que podem melhorar o acúmulo de gordura no fígado, mas nenhuma delas com indicação de bula – todas usadas off label.

Dieta e exercícios

“Hoje o tratamento padrão indicado é dieta e exercício físico. As medicações usadas tratam as doenças base [diabetes, obesidade, colesterol] e acabam melhorando, por consequência, a esteatose hepática. O recomendado é tratar as comorbidades, aliado a um estilo de vida saudável com atividade física e alimentação saudável”, destacou o endocrinologista.

Macedo reforçou também que atualmente a medicina está trabalhando com o conceito de MASH (metabolic steatohepatitis – esteatohepatite metabólica) – antes a nomenclatura mais usada era NASH (nonalcoholic steatohepatitis – esteatohepatite não alcoólica).

“Hoje a ciência tem trabalhado com o conceito MASH para mostrar que fatores metabólicos e não somente o álcool estão fazendo com que o fígado fique doente. A esteatose pode ser controlada, entrando em remissão. Conseguimos melhorar bastante o quadro com perda de peso, principalmente quando aliada à dieta e ao exercício físico”, finalizou.

Deixe um comentário

O seu endereço de e-mail não será publicado. Campos obrigatórios são marcados com *